Achievement
審美歯科
審美治療(40代女性)
-
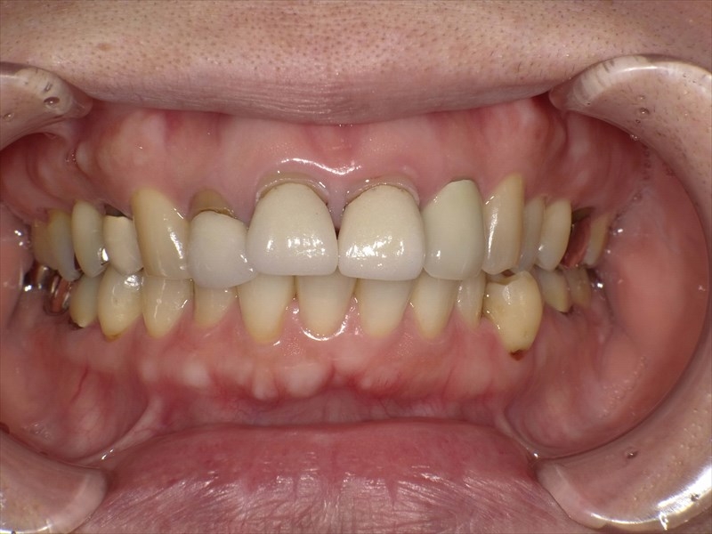
術前の様子
前歯部の長さのバランスを気にされて来院されました。
-
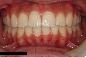
術後の様子
前歯部の審美治療を行い、コンプレックスの解消になり喜ばれました。
当院からのコメント
前歯の小さいことをコンプレックスに感じていらっしゃいましたが、口元のバランスがとてもよくなり自信を持って笑えるようになったと報告いただけました。
審美歯科
歯列矯正・前歯部の審美治療(30代女性)
-
施術前の様子
歯並びと歯の変色による審美障害にお悩みで通院されました。
-
施術後の様子
歯列矯正と並行して前歯部の審美治療を行いました。
当院からのコメント
長期に渡る歯列矯正治療を行うことで、理想的な歯列の状態になりました。非常に喜んでいただくことが出来ました。
歯周病
歯周病と咀嚼障害の改善
-
術前の様子
咀嚼障害と歯周病を改善するために来院されました。
-
術後の様子
補綴治療を行うことで咀嚼が改善され、何でも食べれるようになりました。
当院からのコメント
歯周病が進行していたため、長期間の通院をいただきました。継続してケアをすることで、全体の健康状態もしっかり改善されました。
虫歯治療
虫歯による審美障害を改善
-
術前の様子
虫歯や歯のすき間を気にされて来院いただきました。
-
術後の様子
メタルセラミックスクラウンを被せることで審美障害を改善いたしました。
当院からのコメント
左右対称の4本の歯を治療することで、全体のバランスを含めて自然な口元になりました。
歯周病
重度歯周病から健常歯肉へ|歯周外科手術
-
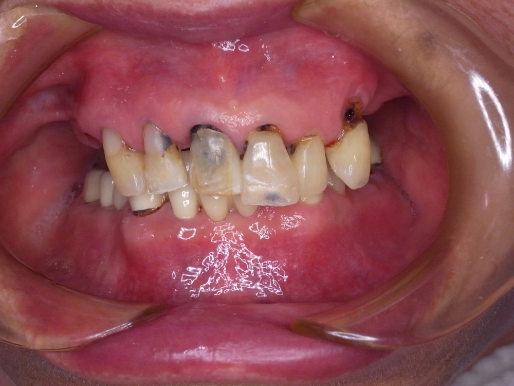
術前の様子
重度の歯周病のため来院されました。
-
術後の様子
初期治療終了後、全顎の歯周外科手術を行いました。
当院からのコメント
重度の歯周病でしたので、長期間に渡る通院を行って大変だったと思います。最後までしっかり治療が出来たので、症状も大きく改善されてお喜びいただけました。
審美歯科
奥歯の銀歯を天然色の材質に変更
-
術前の様子
銀歯による奥歯の審美障害の改善のために治療を行いました。
-
術後の様子
ジルコニアセラミックスクラウンにより天然歯の色調に再現いたしました。
当院からのコメント
笑った時の銀歯を気にされる患者さまでしたが、治療後は大きな口で笑えるようになったと喜んでいただきました。
審美歯科
審美治療(20代女性)
-
施術前の様子
前歯の変色と左右の非対称の改善を主訴に来院されました。
-
施術後の様子
左右の前歯2本の被せモノを施すことで、歯の色の変色と左右の対称性を改善されました。
当院からのコメント
自分のイメージ通りになったということで、お喜びいただきました。
虫歯治療
前歯の虫歯治療・歯立不正の改善(70代男性)
-
施術前の様子
虫歯の治療希望で来院。歯のねじれがあり、審美障害もあったため同時に改善される処置を行いました。
-
施術後の様子
虫歯の処置後に被せモノを施すことで、症状の改善だけでなく見た目もきれいになりました。
当院からのコメント
処置を施し、歯ブラシもしやすくなって着色もつきづらくなり、歯肉の状況もさらに改善されました。
歯周病
歯周病治療(70代男性)
-
術前の様子
はじめて歯周病治療を経験されました。全体のスケーリングルートプレーニングの処置をしました。
-
術後の様子
歯茎の腫れが改善され、健康な歯肉を取り戻しました。口のネバネバ感と口臭も治まりご満足いただきました。
当院からのコメント
継続しての来院でさらなる改善を目指していきましょう。
審美歯科
審美治療(40代女性)
-
施術前の様子
前歯の変色に悩まれて来院いただきました。
-
施術後の様子
前歯の変色の改善に合わせて、以前から気になっていた歯並びの部分も同時に治療を行いました。
当院からのコメント
当初の来院のお悩みだけでなく、以前からの気になる歯並びも合わせて処置出来たため、喜んでいただけました。
審美歯科
審美治療(30代女性)
-
施術前の様子
前歯の被せモノが取れたため来院されました。
-
施術後の様子
歯肉の黒ずみが気になる箇所もあったため、複数の歯を同時に審美治療いたしました。
当院からのコメント
口元のお悩みも改善され、とてもご満足いただくことができました。
歯周病
歯周病治療(20代女性)
-
指導前の様子
歯茎からの出血に悩み来院されました。
-
指導後の様子
歯ブラシの指導で、ここまで改善しました。
当院からのコメント
定期的に来院していただき、歯肉の健康を取り戻していただけました。
審美歯科
審美治療(60代女性)
-
施術前の様子
前歯の変色と歯並びの捻れ、歯肉の退縮 により前歯に物が詰まることの改善を 希望されていました。
-
施術後の様子
自然な色に仕上がりました。
当院からのコメント
施術後の仕上がりに、大変満足して頂けました。当院としても、とてもうれしいです。
審美歯科
審美治療(50代女性)
-
施術前の様子
前歯の隙間と形。特に左右の非対称性の審美的な改善が希望でした。
-
施術後の様子
自然に仕上がり、気になる箇所も解消されました。
当院からのコメント
歯の色や治療痕だけでなく、歯並びの方も改善されました。非常にご満足いただけました。
審美歯科
審美治療(40代女性)
-
施術前の様子
過去の治療から10年経過して詰め物の変色と被せたクラウンのブラックマージンの改善を希望で来院されました。
-
施術後の様子
キレイに仕上がり、お悩みの箇所も解消されました。
当院からのコメント
治療後、口を大きく開けて笑えると笑顔で話されたので安心しました。口元も印象もより明るくなりました。
審美歯科
審美治療(50代女性)
-
施術前の様子
虫歯や色素沈着にお悩みでご相談いただきました。
-
施術後の様子
とてもきれいに仕上がりました。
当院からのコメント
歯の治療と合わせての審美のご相談を頂きました。施術前に比べて、気になる箇所がなくなり表情も豊かになられました。
矯正歯科治療
歯科矯正治療(下顎前突)
-
矯正治療前
下顎前突のお悩みでご相談いただきました。
-
矯正治療後
矯正治療のみで非常にきれいな歯並びになりました。
当院からのコメント
下顎前突のお悩みでご相談いただきました。外科手術などを行わない形で、改善したいというお話だったため、矯正治療のみで治療を進めていきました。とてもきれいな歯並びに矯正されました。
矯正歯科治療
歯科矯正治療(過蓋咬合)
-
矯正治療前
過蓋咬合のお悩みでご相談いただきました。
-
矯正治療後
矯正治療のみで大きく状況の改善が出来ました。
当院からのコメント
過蓋咬合により、噛み合わせが深く、下の前歯で上の歯茎を噛んでしまうというお悩みでご相談頂きました。歯科矯正を行うことで、症状も改善して歯並びも良くなり、非常にお喜びいただきました。
矯正歯科治療
矯正歯科治療(開咬 オープンバイト)
-
矯正治療前
開咬(オープンバイト)のお悩みでご相談いただきました。
-
矯正治療後
治療後は、状況が大きく改善されました。
当院からのコメント
開咬(オープンバイト)のお悩みでご相談いただきました。前歯に隙間があったため、その部分に歯石が溜まりやすく虫歯や歯周病のリスクもあり、矯正治療を行いました。歯と歯の隙間が正常な状態になり清掃性も良くなりました。また、歯並びもきれいになりました。
矯正歯科治療
矯正歯科治療(交叉咬合)
-
矯正治療前
噛み合わせの悪さでご相談いただきました。
-
矯正治療後
治療後は、噛み合わせが良くなりました。
当院からのコメント
噛み合わせの悪さでご相談いただきました。交叉咬合の症状を歯科矯正で治療いたしました。治療後は、上下の咬み合わせが改善され歯並びの方もきれいになりました。
矯正歯科治療
歯科矯正治療(上下顎前突)
-
矯正治療前
口を閉じにくいというご相談でご来院いただきました。
-
矯正治療後
矯正治療後は、口が閉じにくいというお悩みもなくなったとお喜び頂きました。
当院からのコメント
口を閉じにくいというご相談でご来院いただきました。上下顎前突の症状だったため、矯正治療を開始いたしました。お悩みの症状も改善され、大変お喜び頂くことが出来ました。
矯正歯科治療
矯正歯科治療(上顎前突)
-
矯正治療前
審美的なお悩みでご相談いただきました。
-
矯正治療後
矯正治療後は、症状が改善されました。
当院からのコメント
「唇を閉じていても前歯の一部がのぞいてしまう」という審美的なお悩みでご相談いただきました。矯正歯科治療を行い、歯並びもとてもきれいになりました。
矯正歯科治療
矯正歯科治療(正中離開)
-
矯正治療後
審美的なお悩みでご相談いただきました。
-
矯正治療後
きれいに矯正出来たためお喜び頂きました。
当院からのコメント
審美的なお悩みでご相談いただきました。正中離開を改善するための歯科矯正治療を行い、非常にきれいに矯正されました。大変、お喜び頂きました。
矯正歯科治療
歯科矯正治療(叢生)
-
矯正治療前
歯並びにより虫歯になりやすいというご相談をいただきました。
-
矯正治療後
矯正治療を行い、届きにくい場所にもブラシが届くようになりました。
当院からのコメント
歯並びによって、歯ブラシをしていても虫歯になってしまうというご相談から矯正治療を行うことになりました。叢生という歯が重なり合って生えてしまう状態でしたが、矯正治療後、状態は改善し今まで届きにくかった歯ブラシもしっかりと届くようになりました。虫歯のお悩みも合わせて改善されました。
審美歯科
陶材焼き付け鋳造冠による審美治療(70代女性)
-
施術前の様子
虫歯による審美障害のため、その改善のご相談を頂きました。
-
施術後の様子
虫歯の治療後に、ジルコニアによる前歯の施術を行いました。
当院からのコメント
治療と合わせての審美のご相談を頂きました。施術前に比べて、口元の印象もだいぶ変わり大変お喜び頂けました。
審美歯科
陶材焼き付け鋳造冠による審美治療(70代女性)
-
施術前の様子
加齢による歯のダメージを改善したいというご相談を頂きました。
-
施術後の様子
陶材焼き付け鋳造冠で前歯2本を自然な色で審美治療いたしました。
当院からのコメント
加齢による歯のダメージ、変色を改善したいというご相談を頂きました。自然な色に仕上がる陶材焼き付け鋳造冠で特に印象が変わる前歯2本を審美治療いたしました。非常に自然な白さに仕上がり、歯のダメージもなくなったため非常に口元の印象が変わりました。
審美歯科
陶材焼き付け鋳造冠による審美治療(50代女性)
-
施術前の様子
過去に行った審美施術の不自然な白さを気にされておりました。
-
施術後の様子
陶材焼き付け鋳造冠を使用して、他の歯と同じ自然な色に仕上がりました。
当院からのコメント
過去の審美治療により不自然な白さに仕上がった歯が段々と気になりご相談頂きました。治療の甲斐があり、他の歯と同じ自然な白い歯となり、目立たなくなりました。口元の印象もだいぶ変わりました。
審美歯科
イーマックスを中心とした審美治療(50代女性)
-
施術前の様子
以前の審美治療の跡が経年により目立ち始めて、その改善のための治療を行いました。
-
施術後の様子
イーマックスを使用して、歯茎と歯の境目を自然な形に整えて色素も自然な形に戻しました。
当院からのコメント
過去の審美治療の跡をとても気にされておりましたが、治療の甲斐があり、全く目立たなくなりました。前歯の方も以前より少し大きくなり、口元の印象もだいぶ変わられました。歯茎が退縮して歯が露出していた状態が改善されて歯茎の状態も以前より健康になりました。
審美歯科
ジルコニアによる前歯を中心とした審美治療(30代女性)
-
施術前の様子
歯並び、一部損傷、変色のお悩みから審美治療のご相談を頂きました。
-
施術後の様子
ジルコニアによる前歯の審美治療を行い、前歯の色素の改善と欠けた部分のケアを行いました。
当院からのコメント
歯の変色と一部の損傷を気にされてご相談頂きましたが、しっかりと改善出来るという判断の元に、治療方法をご相談しながら進めていきました。全体的な歯の色の統一感と損傷部のケアによりきれいな口元になって頂けました。非常に喜んで頂けました。



